Real Patient Transformations

Changing Lives, One Smile At A Time

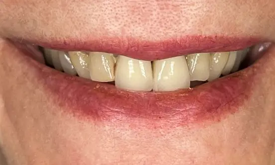
Many patients step into our practice with dreams of a brand new grin. Others are looking to repair damage and get their oral health back on track. Seeing these individuals walk out of our doors with a strong smile and newfound confidence is the reason behind our mission here at Kinard Family Dental. No matter your goals, we’re honored to be a part of your oral health journey. Take a look at our Smile Gallery to explore real patient stories!

Brian

before and after treatment

Before

After

Brian

before and after treatment

Before

After

Jean

before and after treatment

Before

After

Jean

before and after treatment

Before

After

Jose

before and after treatment

Before

After

Jose

before and after treatment

Before

After

Brian

before and after treatment

Before

After

Brian

before and after treatment

Before

After

Martina

before and after treatment

Before

After

Martina

before and after treatment

Before

After

Brian

before and after treatment

Before

After

Brian

before and after treatment

Before

After

Patsy

before and after treatment

Before

After

Patsy

before and after treatment

Before

After

Crowns & Veneers

before and after treatment

Before

After

Crowns & Veneers

before and after treatment

Before

After

Two Veneers

before and after treatment

Before

After

upper Veneers

before and after treatment

Before

After

Show your teeth some love.

Ready to book your next appointment?

Book Your Visit